Donald W White DDS
Family and Cosmetic Dentistry
of Kokomo, Indiana
(765)455-0311
Donald White DDS
3901 Southland Avenue
Suite B
Kokomo, IN 46902
United States
ph: 765-455-0311
alt: 765-455-0312
dentist
Soft Drinks and Tooth Decay
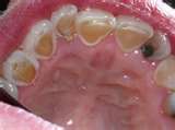
Most people are aware that soft drinks contain sugar and/or sugar substitutes. However, are you aware of the amount of 'acid' in the soda you drink? Even diet sodas are acidic in nature, therefore they can still weaken tooth enamel. Several popular soft drinks were tested for their sugar and acidity. In a 12 oz serving results show a range from zero to ten teaspoons of sugar and from 2.53 to 4.61 pH with a pH of 7 being neutral. Also, don't be misled in thinking soft drinks are the only culprits. Many 'ready to drink' iced tea, lemonade, juice and energy drinks are just as damaging to your teeth. The key is to drink in moderation or even better......drink water instead.
Dry Mouth?????
Many people suffer from symptoms
of dry mouth due to aging, medications and other medical procedures such as chemotherapy and radiation treatments. This can leave them with painful mouth tissues, difficulty in swallowing, food not tasting good and prone to dental decay, gum disease and bad breath. A product named 'Biotene', (although not a cure), is available to relieve those symptoms. 100% alcohol free, it is available over-the-counter and comes in a mouthwash, toothpaste and oral moisturizer.
.....Oral Cancer.....
More than 30,000 Americans are diagnosed with oral cancer each year. When it is found in its early stages 90% can be cured. However, over 8,000 die of orally-related cancer because they don't have regular oral exams. Who is at risk?? If you are over 40 years old, use tobacco (smoking or smokeless), drink alcohol frequently, have had other cancer, if you are immunocompromised and male then you are at a greater risk. Yet, 25% of all oral cancer occurs in people who don't have any of these risk factors. What are the signs and symptoms? 1) A white or red patch in your mouth. 2) A sore that doesn't heal in 10-14 days or bleeds easily. 3) Pain or soreness in your mouth, cheeks, lips or throat that you cannot explain. 4) Swelling in your mouth or neck. 5) Difficulty chewing or swallowing or moving your jaw and/or mouth. What can you do? Identify your risk factors and tell your healthcare provider. Avoid tobacco and overuse of alcohol. Know what the symptoms are of oral cancer and have a regular oral cancer screening at least one time per year. At our office we use a new 'tool' to help diagnose possible malignancies in the mouth. It is called VELSCOPE. Please see our webpage on NEW TECHNOLOGIES to learn more about how this works.
Copyright 2014 Donald White DDS. All rights reserved.
Donald White DDS
3901 Southland Avenue
Suite B
Kokomo, IN 46902
United States
ph: 765-455-0311
alt: 765-455-0312
dentist